-
-
Q
薄いほうのアライナーとかあるのですか!?
-
A正規会員もしくはQAアクセス会員になると、Aが表示されます。
Aをご覧になりたい方はこちら
-
-
-
Q
Fさんのスマーティーチェックお願いします。1回目の追加アライナーです。
宜しくお願い致します -
A正規会員もしくはQAアクセス会員になると、Aが表示されます。
Aをご覧になりたい方はこちら
-
-
-
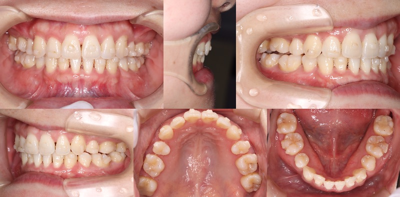
Q

smartee症例のアタッチメント脱離についてご相談させてください。
Cくん 男児
現在9ステージ目使用中です。
他の症例では問題なく経過しておりますが、
本症例に限っては、
装着から約2週間で毎回ほとんどのアタッチメントが脱離している状態です。このままでは計画通りの進行が難しいと感じております。
現在の装着手順は以下の通りです。
・歯面研磨:メルサージュ使用
・エッチング(EE)、ボンディング(EB)実施
・アタッチメントテンプレート使用
・フローレジン:オムニクロマ使用なお、現在は9ステージ目まで進んでおりますが、
進捗への影響も懸念されるため、
再スキャンが必要な場合はご指示いただけますと幸いです。つきましては、以下についてご教示いただけますでしょうか。
① 小児症例特有の脱離リスク(エナメル質の性状など)の影響について
② 材料選択(オムニクロマ)の適否
③ 小児における有効な接着手技のポイント
④ 咬合干渉や生活習慣(咬み癖など)の影響の考え方本症例のみで起きている現象のため、
個別要因が強いのではないかと考えております。口腔内写真
〇アタッチメント取れなかった
×アタッチメントダツリお忙しいところ恐縮ですが、
ご教示のほどよろしくお願いいたします。 -
A正規会員もしくはQAアクセス会員になると、Aが表示されます。
Aをご覧になりたい方はこちら
-
-
-
Q
スマーティーチェックをお願いいたします。
患者さん SさんIPRはしたくないとのことで進めています。
よろしくお願いいたします。 -
A正規会員もしくはQAアクセス会員になると、Aが表示されます。
Aをご覧になりたい方はこちら
-
-
-
Q
症例相談お願いします。薄いほうのアライナーを使用する場合はどのようにすればいいのでしょうか。
スマーティーの症例です。
Webcephにも資料登録しています。患者氏名 Kちゃん
よろしくお願いいたします。
-
A正規会員もしくはQAアクセス会員になると、Aが表示されます。
Aをご覧になりたい方はこちら
-
-
-
Q

Mさん、40代女性、主訴は「前歯を下の歯より前に、きれいに並べたい。にっこり笑った時に、真白な歯が綺麗に並んでいるのにあこがれている。」とのことでした。
前歯部だけでなく、臼歯部にも逆被蓋の部位がありますが、本人は機能的な問題は自覚なし。見た目が良くなれば良いそうです。
小学生のお嬢さんが骨格性の反対咬合を当院で治療中で、自分もやりたくなった。とのことでした。相談したいことは、
①外科を避けたカモフラージュ矯正は可能でしょうか?資料どりをする前は、口腔内を見て、上顎大臼歯の遠心移動と、下顎4番抜歯だけでいけるかな、MSEやってみるしかないのかな、と思っていたのですが、
パノラマより、上顎骨が薄く、とくに上顎の大臼歯は動かしたら抜けちゃうのでは?と心配です。
左上顎洞炎の疑いがあるので、まず耳鼻科を受診してもらおうと考えています。
CTでは、2023年に抜歯した左上智歯の抜歯窩が上顎洞と交通しており、左上犬歯の唇側に歯槽骨が見えませんでした。下顎前歯部の唇側皮質骨も薄かったです。
下顎大臼歯部だけはインプラントアンカーを打てる皮質骨の厚みがありました。
上顎骨が貧弱すぎて、外科矯正をする矯正歯科専門医にご紹介しても、迷惑だろうな、と思ってしまいました。②インビザラインとSmarteeだと、どちらが安全に治療できるでしょうか。ブラケット治療の方が優位な点等ありますか?
どちらも出すだけ出してみました。
ご指導のほど、よろしくお願いいたします。
矯正頑張るよりも、補綴のみで前歯をきれいに作る方が良いのかな、それも長持ちさせるためにはどうしたら良いのか、難しいなぁ、と考えています。 -
A正規会員もしくはQAアクセス会員になると、Aが表示されます。
Aをご覧になりたい方はこちら
-
-
-
Q

αの経過観察症例です。現在7枚目 全然進みません。装着時間不足が著しいです。その分交換日数を延ばしているようで、幸か不幸か適合はそれなりです。その状態で開口しづらいようなことをおっしゃってます。資料と質問を添付します。顎関節を含めて今後の見通しをご教示いただければ幸いです。 -
A正規会員もしくはQAアクセス会員になると、Aが表示されます。
Aをご覧になりたい方はこちら
-
-
-
Q
不勉強で大変申し訳ありません。前回クリンチェックのご指導をいただいた、I様ですが、アンカースクリューを2.3間や正中に埋入して圧下をさせるとご指導いただきましたが、アンカーを埋入しどのように前歯部を圧下させたらよいのでしょうか?アライナーの2・3部唇側に何か引っ掛けるところを作ってパワーチェーンで引っ張るのでしょうか?
よろしくご教授いただければ幸いです。 -
A正規会員もしくはQAアクセス会員になると、Aが表示されます。
Aをご覧になりたい方はこちら
-
-
-
Q
1.Kさん、女性、顎の痛みが強く矯正で改善する可能性があるかどうか見ていただけないでしょうか。
スマーティーとウェブセフアップする予定です。
右上5は義歯を使用中です。矯正中は使えないと話して良いですか。
2.Aのスマーティーチェックアドバイスお願いします。
右下5は近遠心にスペースありますが、アタッチメント必要でしょうか。あとパワーアームでないと動きが難しいでしょうか
3.Sさんもう一度来ていただいて確認しますが、奥歯で噛んでといっても写真のようになります。前方で噛んでしまっているのでしょうか? -
A正規会員もしくはQAアクセス会員になると、Aが表示されます。
Aをご覧になりたい方はこちら
-
-
-
Q
スマーティーHさんのスマーティーチェックをお願いします
質問
・上下の叢生があり特に
上顎の叢生が大きく上顎も遠心移動が必要な症例かと思います(両側8は抜歯します)
上下の臼歯部の移動の際の反作用を消すためにTADが第一選択でしょうか
TADを使用する場合は両側の頬棚に1本ずつ入れて上顎3と下顎3にボタンをつけて引くような設計でいいでしょうか
その場合の3のアタッチメントは小さくでもつけておいた方がいいでしょうかTADを用いない場合は下顎にⅢ級ゴムを用いて4番までの移動が終わったら
上顎にⅡ級ゴムを用いるとい方法になりステージ数が増えるということになりますでしょうか・顎関節の自覚症状も他覚症状も顕著ではないですが、
咬筋の左右差がありましたのでシン中心位でバイトをとり進めていこうと思います -
A正規会員もしくはQAアクセス会員になると、Aが表示されます。
Aをご覧になりたい方はこちら
-
-
-
Q
まず、アライナーセットの前に右上6左上下6のは冠形態を変えて、咬むようにしてからアライナーの右上67左上下67を切断して、顎間ゴムをかけても良いでしょうか?その場合は、左右上下45にボタンカットをつけておいたら良いですか?
よろしくお願いいたします。 -
A正規会員もしくはQAアクセス会員になると、Aが表示されます。
Aをご覧になりたい方はこちら
-
-
-
Q
スマーティーHさんのスマーティーチェックをお願いします
質問
・上下の叢生があり特に
上顎の叢生が大きく上顎も遠心移動が必要な症例かと思います(両側8は抜歯します)
上下の臼歯部の移動の際の反作用を消すためにTADが第一選択でしょうか
TADを使用する場合は両側の頬棚に1本ずつ入れて上顎3と下顎3にボタンをつけて引くような設計でいいでしょうか
その場合の3のアタッチメントは小さくでもつけておいた方がいいでしょうかTADを用いない場合は下顎にⅢ級ゴムを用いて4番までの移動が終わったら
上顎にⅡ級ゴムを用いるとい方法になりステージ数が増えるということになりますでしょうか・顎関節の自覚症状も他覚症状も顕著ではないですが、
咬筋の左右差がありましたのでシン中心位でバイトをとり進めていこうと思います -
A正規会員もしくはQAアクセス会員になると、Aが表示されます。
Aをご覧になりたい方はこちら
-
-
-
Q

症例相談お願いいたします。
Sさん20代です。
右上2番先欠です。左上2番矮小歯です。
左右対称にしたいと思いますが、右上2番のスペース作るのは難しいでしょうか?
資料添付させていただきます。
よろしくお願いいたします。 -
A正規会員もしくはQAアクセス会員になると、Aが表示されます。
Aをご覧になりたい方はこちら
-
-
-
Q
Yさん戻ってきましたのでご確認ください。よろしくお願いします。
-
A正規会員もしくはQAアクセス会員になると、Aが表示されます。
Aをご覧になりたい方はこちら
-
-
-
Q
症例相談お願いします。
① インビザライン Kさん 叢生は改善しましたが、臼歯部がなかなか咬合しません。
② SMARTEE Fさん 正中離開 上顎前突 新規症例
③ インビザライン Tさん 反対咬合 クリンチェック確認お願いします。
④ インビザライン Kさん 中学生 上顎前突 新規症例 宜しくお願い致します。 -
A正規会員もしくはQAアクセス会員になると、Aが表示されます。
Aをご覧になりたい方はこちら
-
-
-
Q
Nさんです。スマーティーです。
-
A正規会員もしくはQAアクセス会員になると、Aが表示されます。
Aをご覧になりたい方はこちら
-
-
-
Q
症例相談をお願いします。Hさん開咬 最後が開咬になっています。よろしくお願い致します。
-
A正規会員もしくはQAアクセス会員になると、Aが表示されます。
Aをご覧になりたい方はこちら
-
-
-
Q
①O様
左下6の遠心根に対してカンチレバーのような補綴が入っているのですが、アップライトの力に耐えられず破折になるリスクはありますでしょうか?②K様
クリンチェック返ってまいりました。
ボタンカットやTADは不要でしょうか?お忙しいところ恐れ入りますがクリンチェックのチェックをお願い致します。
-
A正規会員もしくはQAアクセス会員になると、Aが表示されます。
Aをご覧になりたい方はこちら
-
-
-
Q

セトリングに入って半年経った症例です。クリンチェック修正しますので承認OKかご確認ください。今までの治療経過のPPを添付します。宜しくお願い致します。 -
A正規会員もしくはQAアクセス会員になると、Aが表示されます。
Aをご覧になりたい方はこちら
-
-
-
Q
1、Tさん、左上2だけ先欠でした。どう仕上げたら良いでしょうか。webセフあります。キンダー治療中です。
2、Iさんスマーティチェックアドバイスお願いします。 -
A正規会員もしくはQAアクセス会員になると、Aが表示されます。
Aをご覧になりたい方はこちら
-



