-
-
Q
スマーティチェックのチェックをお願いします。
S様
右側のスピーの湾曲が強く、親知らずの抜歯も拒否されています。
右上5番、4番は圧下を組み込んでいます。
適正であるか見ていただけますでしょうか?
宜しくお願いします。 -
A正規会員もしくはQAアクセス会員になると、Aが表示されます。
Aをご覧になりたい方はこちら
-
-
-
Q
インビザラインで治療中の Mさんの追加アライナーです。これでいいのかチェックをお願いします。
あと、スマーティーで治療の Oさんです。子供でこのような空隙歯列の場合はこのような治療でいいでしょうか? よろしくお願いします。 -
A正規会員もしくはQAアクセス会員になると、Aが表示されます。
Aをご覧になりたい方はこちら
-
-
-
Q
シン中心位はどちらで学ぶことが出来ますでしょうか。
-
A正規会員もしくはQAアクセス会員になると、Aが表示されます。
Aをご覧になりたい方はこちら
-
-
-
Q

①I様(インビザ)
最近まで、下顎前歯を後方に移動する動きをしていて、前歯部の切端咬合がギリギリ治ったくらいの状態ですが、インビザの最終段階まで来ています。歯の側面観は大きく改善しているのですが、患者さん本人からは、口元の突出感が変わらないので、もっと前歯を下げられませんか?と聞かれました。
今回のセファロがないのですが、なぜでしょうか?(次回撮影します、すみません)
もともとの口唇の厚みが、口元の突出になっているのでしょうか?非抜歯なので、ほぼこの状態が仕上がりであることはお伝えしましたが、今回の追加アライナーで、可能な分は前歯を改善してあげたいので、クリンチェックの修正をどうぞよろしくお願い致します。
②Kさま スマーティ インビザ
マウスピース矯正開始までに、この4か月間、ゴムかけをしてもらって、臼歯挙上をしてきました。(下顎左右7にレジン添加して、臼歯離開して、ゴムかけをしたのですが、臼歯の挺出よりも、7が圧下したように見えます。)
これからは、アライナーで挙上していきたいと思います。
スマーティとインビザと、どちらで進めていくのがいいでしょうか?
自分としては、スマーティの方がアタッチメントが効くイメージでいるのですが、GEインフィニティでも治療できますか?それとも、GSになりますか?
今のところ、スマーティGEインフィニティでスマーティチェックができていますので、ご指導のほどよろしくお願いいたします。一気に寒くなってきましたので、先生、ご自愛ください!
-
A正規会員もしくはQAアクセス会員になると、Aが表示されます。
Aをご覧になりたい方はこちら
-
-
-
Q

高校生男子 主訴 歯並び です。
資料、質問記載したPP添付します。宜しくお願い致します。本人、ご家族前向きですが私にできるか心配です。
smarteeチェック戻ってきて修正しました。
・左上下6の動かし方が難しそう
・臼歯の遠心傾斜をするために右だけゴムを使うようにしたが、それでよいのか
・右上6は遠心傾斜をしないといけないのだけど、フックを付けているので動かせないというジレンマ
・そうなると上はいつからどう動かすか未成年なのでアンカーは打ちたくないのと、智歯抜歯した方がよいのですが、矯正しようとマインド上がってる中なかなか言いづらいです。
ご確認と修正をお願い致します。
-
A正規会員もしくはQAアクセス会員になると、Aが表示されます。
Aをご覧になりたい方はこちら
-
-
-
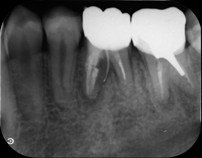
Q

N様主訴は前歯の隙間、形が気になる 上顎2の矮小歯と下顎前歯の歯軸が立っているのが気になるとの事でした上顎は拡大を行い、2の近遠心に隙間を作り最終的には補綴で形態を整える
下顎前歯部の歯軸を倒し被蓋を作る
という計画を立てました。
ところが左下の6の近心根が保存不可能になってしまい、近心根は抜根しか手がなくなってしまいました質問1
8番は真っ直ぐに生えていますが抜歯する計画で進めました
でも76が失活歯で左下は抜かないとならないときたので
もっといい治療計画ありますでしょうか質問2
8を抜く治療計画で進める場合
急性症状はないので左下6は抜かないでこのままにしてアライナー矯正を行い、矯正後に補綴を考えるのがいいのか
保存不可能な左下6近心根を抜いてから再度シュミレーションをするのがいいのか
左下6はこのままにして進める場合のシュミレーションは作りました -
A正規会員もしくはQAアクセス会員になると、Aが表示されます。
Aをご覧になりたい方はこちら
-
-
-
Q

1
Kさんファーストの追加アライナー用の資料を採りました。次はリテーナーでよいかもかもしれませんね、とおっしゃっていただきました。ご確認いただき、ホーレーに進むか、追加アライナーでいくか、ご教示ください。PP添付します。
2
Y君
受験終わるまでゴム、アタッチメント無しで進めようかとしている山田君ですが、臼歯の遠心移動を無くした計画にしましたが、smartee checkはこれで承認してよさそうですか?良ければ親御さんに連絡したいと思います。以上2件、宜しくお願い致します。
-
A正規会員もしくはQAアクセス会員になると、Aが表示されます。
Aをご覧になりたい方はこちら
-
-
-
Q
1.Oさんスマーテイーチエックアドバイスお願いします。
次のメッセージがきてます。この症例では、
① 上顎前歯部に重度叢生を認め、22番歯は反対咬合状態です。セファロおよび歯根データより、23番歯の萌出待機が確認されます。
② 22番歯を大幅な唇側傾斜により反対咬合を解除する過程で、23番歯との衝突が生じ、23番歯の正常萌出障害を引き起こす可能性があります。
③ 現段階では前歯部反対咬合を維持し、永久歯萌出完了後の排列調整を推奨します。ただし、今回のシミュレーションではまずご指示に従い設計を実施しています。2.Kさんインビザアドバイスお願いします。
3.Kさんスマーティーアドバイスお願いします。
4,スマーテイーフックとボタンの違いはオプションかどうかだったでしょうか?
5.メディカルスキャニングでMRIのオーダーを出すとき、開口時と閉口時のものを取ってくださいと指示すれば良いのでしょうか?
-
A正規会員もしくはQAアクセス会員になると、Aが表示されます。
Aをご覧になりたい方はこちら
-
-
-
Q
症例相談お願いします。
インビザライン
① Kさん 中学生 新規症例 クリンチェック確認お願いします。
② Kさん 反対咬合 抜歯ケース 追加アライナー修正中です。
③ Mさん ブラックトライアングル改善方法
smartee
① Uさん ② Hさん スマーティチェック確認お願いします。 -
A正規会員もしくはQAアクセス会員になると、Aが表示されます。
Aをご覧になりたい方はこちら
-
-
-
Q
患者氏名 M様
スマーティGSの症例です。Webcephにも資料を入れています。
レコード2の方に入れています。
スマーティーチェックの修正と患者様への注意事項等ご教授いただけますと幸いです。 -
A正規会員もしくはQAアクセス会員になると、Aが表示されます。
Aをご覧になりたい方はこちら
-
-
-
Q

Hさん当院スタッフの症例です
アンフィットのための追加アライナーのについての質問です
治療計画通りに進んでなくて困っています問題なく交換できていたと思っていたのですが、
33枚目(ステージングでは下顎5番の遠心移動が終了するところ)で見たら
アライナーはパカパカ浮いていることはないですが
下顎5番に付いているアタッチメントの位置にアライナーがはまってなかったのを発見しました
よく見ると上顎もアライナーがアタッチメントにはまってないところがありました
もうダメだと思い、スキャンをして提出しました
返ってきたアニメーションは、62枚(1回目も64枚でした)で、また下顎の7番の遠心移動からの計画になっていました
これって全然動いていないということでしょうか?
途中経過は下顎遠心移動に伴い、歯間部に空隙ができていたんです
私のイメージでは、下顎は7、6、5の遠心移動が終わったのだから追加アライナーは
4番を動かすところから始まるんだと思っていました。
アンフィットからの立て直しが初めてなのですが、どういうことが起きているのか解説して頂きたいです
自分では67の遠心移動は終了したとしてスマーティーチェックを作ってみました
どうぞよろしくお願いします
現在の口腔内写真を添付します -
A正規会員もしくはQAアクセス会員になると、Aが表示されます。
Aをご覧になりたい方はこちら
-
-
-
Q
Fさん
叢生が主訴の患者さんです
インプラントアンカー
4箇所埋入し歯軸起こして叢生改善はかりました
7654はステージわけた方がいいですか?
枚数増えるので4日間交換はどうでしょうか?アドバイスよろしくお願いします
②Yさん
クリンチェック追加アライナー
最終になります
アドバイスよろしくお願いします
③Tさん
スマーティチェックアドバイスよろしくお願いします
④Tさん
クリンチェック 追加アライナーですこれを改善するため左右上下45にボタンかけて
ゴムかけてみようと思いますアドバイスよろしくお願いします
-
A正規会員もしくはQAアクセス会員になると、Aが表示されます。
Aをご覧になりたい方はこちら
-
-
-
Q

M様 特徴的なのは90度以上捻転した左上2番です。
webセフでは上顎第一大臼歯は遠心に位置していて、尚且つ下顎は後方に退けているという感じです。頚椎も後屈しています。
上顎を前方へ広げて、ジェットを作り、下顎を前方へ誘導してあげたいところですが、上顎前歯の唇側への移動は難しいと思われます。よって上顎臼歯の近心移動は行わず、逆に左側は遠心へ傾斜させています。
幸にしてご本人の不定愁訴の訴えはありません。
左上2番の捻転解消のための手段をご教示ください
この後のN先生の後にwebセフ分析を添付しております。
宜しくお願いします。 -
A正規会員もしくはQAアクセス会員になると、Aが表示されます。
Aをご覧になりたい方はこちら
-
-
-
Q

適合不良による追加アライナーになりました。(TEEN) 訳ありで装着時間の減少になると思います。(PPに記載)smartee check戻ってきて修正しました。承認してよいかご教示と修正をお長い致します。資料と質問を記載したPP添付します。
質問の追加質問を1件
叢生改善のため左上6が遠心移動になっています。反作用で上顎骨の前方への拡大になりますか?上顎前歯の根尖が骨から出ないようにして、配列するとどうしても6にしわ寄せがいきます。 -
A正規会員もしくはQAアクセス会員になると、Aが表示されます。
Aをご覧になりたい方はこちら
-
-
-
Q

スマーティー Sさん30代
以前ご相談した方で、スマーティ―GE開始しました。
スマーティ―から、「特記事項 6.ステージ1アライナー装着前に、上顎臼歯部の頬側にTADを設置してください。」とコメントがありました。
インプラントアンカー埋入予定でしたが、CTでシュミレーションすると、左右とも打てる場所がなく困っています。こういった場合はどう対応されるのか教えてください。
頬側にアンカーを打つことしか考えていませんでしたが、口蓋側から犬歯を後ろに引くような装置を考えるのでしょうか?
また、電子タバコを吸っている方なのですが、喫煙を続けることで治療の成果に影響はありますか?
おしえてください。よろしくお願いいたします。 -
A正規会員もしくはQAアクセス会員になると、Aが表示されます。
Aをご覧になりたい方はこちら
-
-
-
Q
追加アライナーのクリンチェックの確認をお願いします。
①Gさん
上下正中を合わせたい。右側臼歯の咬合が弱い状態です。
スキャンは正中を合わせた状態で撮っています。
②Kさん
上顎左右1番が左右非対称なので、修正希望しています。
③A様
状態はいいと思うのですが、下顎5が先欠なのでEのサイズを5の幅になるように調整をするべきか、この辺りで終了で良いかを
教えて頂きたいのです。よろしくお願いします。スマーティーのチェックをお願いします。
①Y様 -
A正規会員もしくはQAアクセス会員になると、Aが表示されます。
Aをご覧になりたい方はこちら
-
-
-
Q
前医のもとで義歯が痛くて使えないのでインプラント希望したところ、その医院ではインプラントは出来ないと言われて転院してきた患者さんです。
咬合挙上してからインプラントを入れたいのですが、臼歯がないと矯正もできるのか心配で、どうしたらいいのか教えてほしいです。
スプリントで咬合挙上にトライしたのですが、本人の義歯への抵抗感が大きく難しそうです。
左上6番および右下6番相当部にTADsで仮歯を作って、アライナーでアンテリアガイドを確立してから、臼歯のインプラント埋入するのは可能でしょうか。Smarteeチェックに出してみました。
Yさんご指導のほどよろしくお願い申し上げます。
-
A正規会員もしくはQAアクセス会員になると、Aが表示されます。
Aをご覧になりたい方はこちら
-
-
-
Q

Sさんのスマーティーチェックの確認お願いします
上顎の1番がソフト上では4mmの舌側移動
し、ソフト上の歯槽骨からは、はみ出て無いのですが、CT上では、???となっております。
どちらを信用すれば良いですか? -
A正規会員もしくはQAアクセス会員になると、Aが表示されます。
Aをご覧になりたい方はこちら
-
-
-
Q
①Sさん
女性 / 年齢 10代3級でいま上顎をMSEで拡大しています。上顎の66のバンドにフックを付けましてそのフックをアンカーにして先に下顎のみスマーティを行う予定です。これはMSE拡大後半年は待たないといけないのでその間に下顎の拡大を考えました。
この考え方でいいでしょうか?3Dシュミレーションとメールで下顎犬歯のリセッションが起きるので気を付けてと来ました。その際の予防法はなにかありますか?
②Fさん
女性 / 年齢 30代以前も小児矯正をして前突が気になるので再矯正したいとのこと
下顎の後退と考え、TADはOKなので上下左右に4本いれてバイトランプを付与しバイトを上げながらすすめていこうと思います。 -
A正規会員もしくはQAアクセス会員になると、Aが表示されます。
Aをご覧になりたい方はこちら
-
-
-
Q
スマーティーチェックの修正をお願いいたします。
Kさん
上顎の前歯の前突が気になるとのことでした。左顎関節に顎関節雑音が鳴るとのことです。
スマーティーチェックしたところ、以下の点について質問させていただきたいです。
・下顎前歯にIPRが多くなり、オーバージェットが3.4mmとまだ前突感が残るのではないか、IPRも多めになったので、もし前突感が残るなら抜歯も視野を入れたほうがいいか
・37の舌側がもともと歯槽骨から露出している
・カントが左上がりに2.8度あるが、その修正方法がわからない初歩的な質問で申し訳ありませんがよろしくお願いいたします。
ウェブセフ、スマーティーのURLは個別メッセージで送らせていただきます。
-
A正規会員もしくはQAアクセス会員になると、Aが表示されます。
Aをご覧になりたい方はこちら
-



